
傳統矯正為什麼選森源牙醫診所?
森源的所有醫師均受過為期半年、官方戴蒙式矯正法的系列性課程,熟悉戴蒙式矯正法在不同異常 齒列(安格式一、二、三類)情況的運用,開業十多年以來已累積大量傳統矯正病例資料庫。

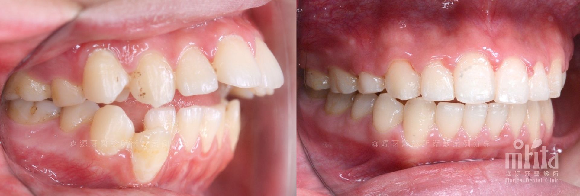
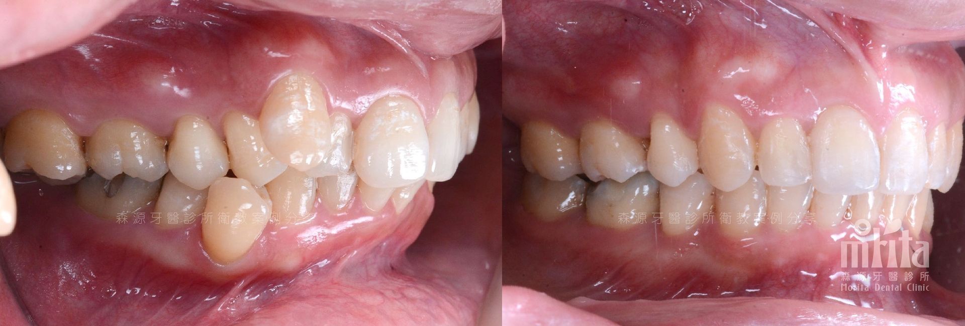
什麼是傳統矯正?
傳統矯正的方式是將矯正器黏著在牙齒表面後,將具有記憶功能的矯正弓線放入口中並與矯正器綁在一起,藉由矯正弓線、矯正器及橡皮筋將牙齒排列整齊。因為被使用的歷史悠久,幾乎大部分的齒列異常都可以用傳統矯正改善。然而,矯正器的種類百百種,是否有內建角度、是否需要綁線、 是金屬或強化樹脂等材質,都會影響到臨床操作的方便性及耐用度。
傳統矯正評估到診療流程
step 1
來電預約
矯正諮詢
step 2
收集
相關資料
step 3
主治醫師
診斷分析
step 4
確認動畫
治療計畫
step 5
矯正前
準備治療
step 6
全口
黏著矯正器
什麼是Damon戴蒙式矯正?
傳統的矯正器必須用細小的鐵線,或是橡皮筋將矯正弓線固定在矯正器上。而Damon滑蓋自鎖式矯正器獨創特殊的可動滑蓋開關,能將矯正弓線固定住。不同於傳統的矯正器將矯正弓線「綁死」在矯正器上,Damon內建的滑蓋設開關不但可以固定矯正器,還能讓線在蓋子內自由地滑動,大大降低了摩擦力,這讓牙齒所承受的力量變小,配戴上更舒適外,矯正期間牙齒移動的速度將會變快,療程也將因此而縮短。

舒適的矯正治療
因為摩擦力小,使用的橡皮筋可以更輕,牙齒移動更有效率,同時比較傳統矯正器數週或一個月必須回診,戴蒙式矯正器僅需一到兩個月回診一次,需要調整次數可以減少,不浪費您寶貴的時間。







