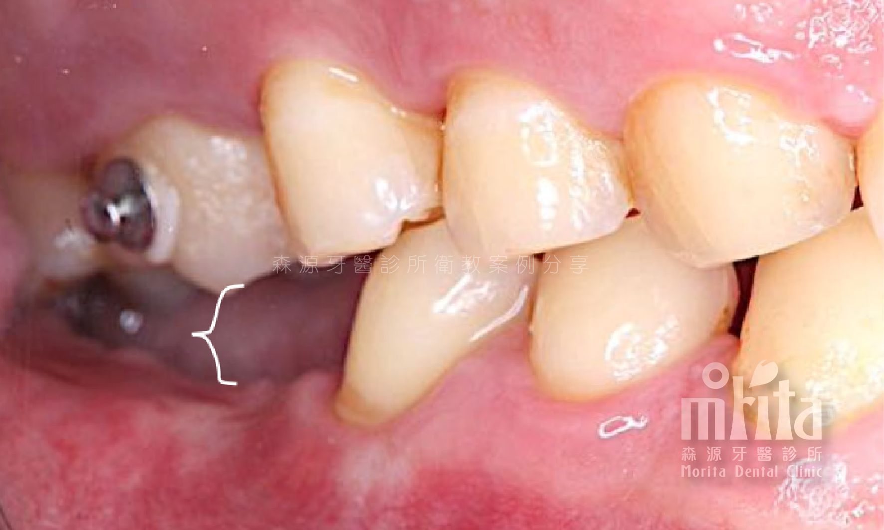
長期缺牙 對咬牙過度萌發

Antagonist tooth elongation due to long-term missing

因牙齒被拔掉缺少咬合力,造成對側牙齒慢慢變⻑,甚至快咬到牙床, 藉由局部矯正,將牙齒壓入,才爭取到約3~4mm的空間,可以植牙製作假牙。

January 31, 2025
笑齦 Gummy Smile
January 31, 2025
阻生齒 Impaction
January 31, 2025
阻生齒 Impaction
January 31, 2025
阻生齒 Impaction
January 31, 2025
厚斗 Protrusive Chin
January 31, 2025
暴牙 Bimaxillary Protrusion
More Posts