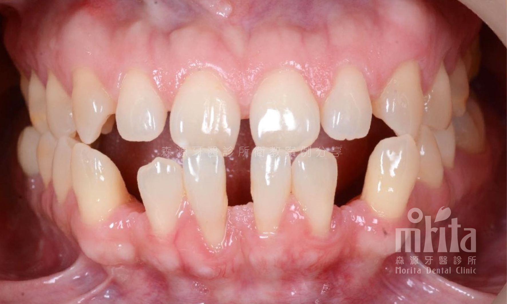
漏財牙縫 Diastema

民間傳說,門面牙齒有牙縫守不住財,嚴重的牙縫,不止漏風、不美觀,還會因為牙根過度外露而有敏感及牙周的問題,可以藉由隱形矯正將牙縫關閉,還你漂亮健康的牙齒。

January 31, 2025
笑齦 Gummy Smile
January 31, 2025
阻生齒 Impaction
January 31, 2025
阻生齒 Impaction
January 31, 2025
阻生齒 Impaction
January 31, 2025
厚斗 Protrusive Chin
January 31, 2025
暴牙 Bimaxillary Protrusion
More Posts