呂阿姨終於有牙可以吃清脆青菜了
呂阿姨是為虔誠的佛教徒,吃全素的她因爲牙齒不好,導致吃蔬菜時都需要把青菜煮得很久很爛之後,才能方便進食,很是辛苦。
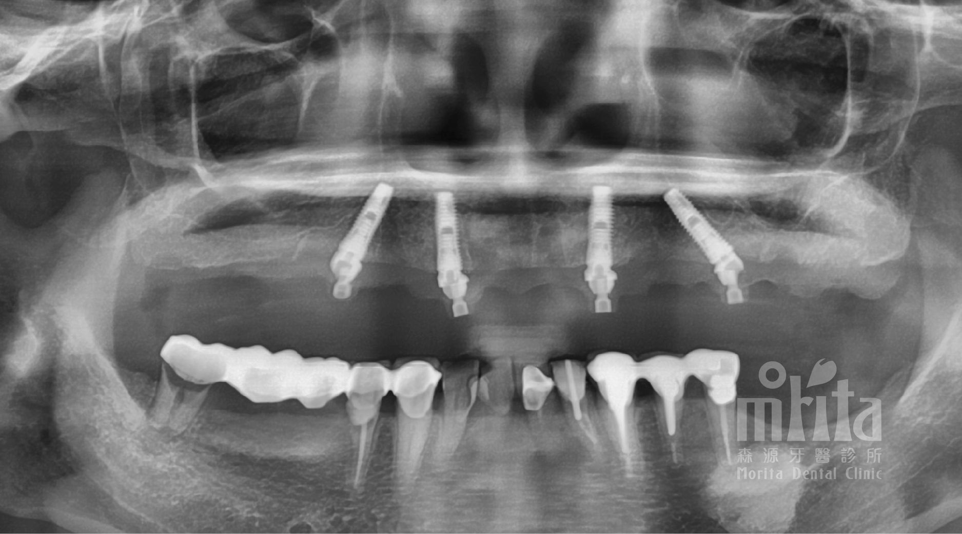
一日假牙除了需要集結手術醫師,假牙醫師,麻醉醫師配合之外,也需要專業的一日假牙資深技師一同合作,在治療中的特定階段馬上在在診所同步進行假牙的製作。
一日假牙取模時,會使用傳統印模與數位印模的融合的特殊技法,反覆驗證模型準確度,再進行正式假牙的製作。

經由多次在模型上,以及呂阿姨的口內驗證與調整後,最後完成正式假牙的製作。
完成一日假牙療程後,呂阿姨再也不用每天花很長的時間煮軟青菜,也能吃的開心又健康了。















