嚴重的牙周病造成的缺牙問題
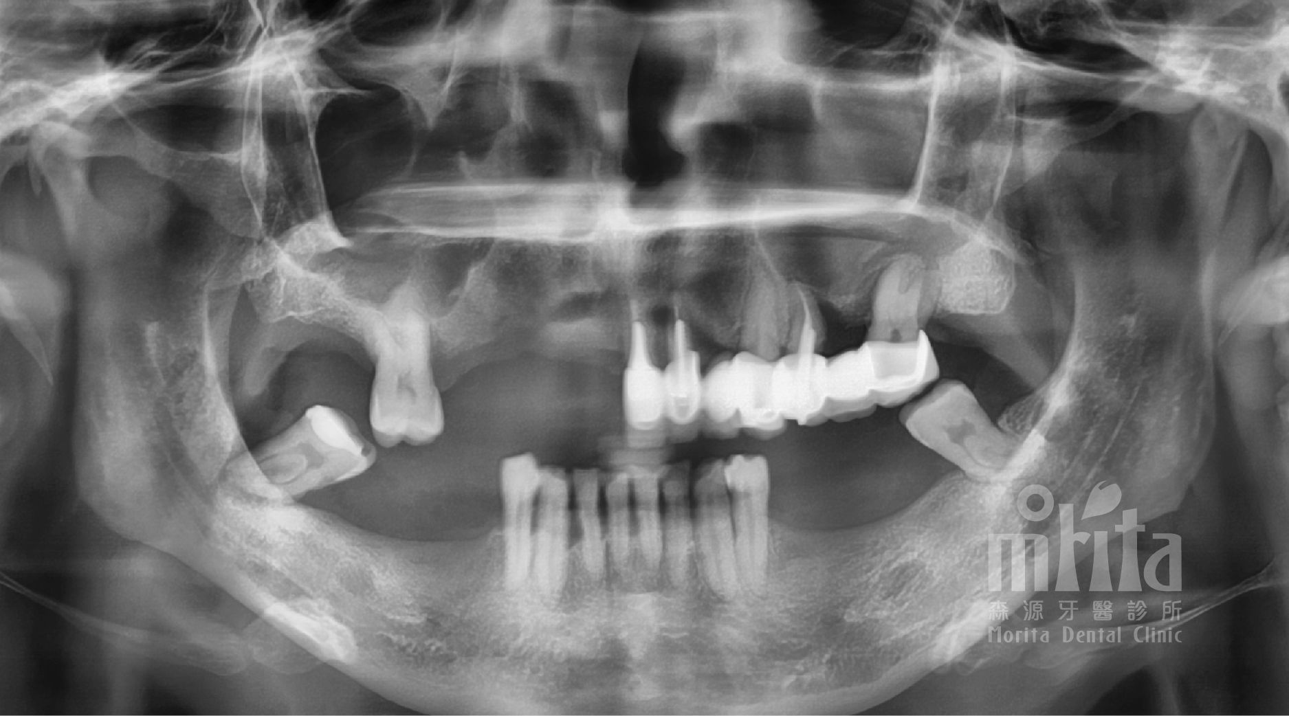
馬小姐來診時表示,因為自己以前疏於照顧牙齒,所以因為嚴重的牙周病而拔除了許多牙齒,造成現在進食困難,並且前牙因為牙周病導致地基不穩定,門牙越來越暴牙。

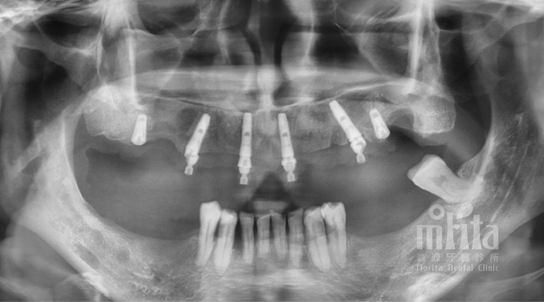
我們同樣在術前進行了詳細的資料收集與診斷分析,以訂定最適合馬小姐的治療計劃,設計植體如何置放,假牙如何規劃。

手術後也會再次驗證評估植體的安放設計是否如計畫進行,有沒有需要調整設計的地方。
經由完整的一日假牙療程治療後,馬小姐重拾微笑的自信,以及能夠好好大口吃東西的能力。
馬小姐來診時表示,因為自己以前疏於照顧牙齒,所以因為嚴重的牙周病而拔除了許多牙齒,造成現在進食困難,並且前牙因為牙周病導致地基不穩定,門牙越來越暴牙。

我們同樣在術前進行了詳細的資料收集與診斷分析,以訂定最適合馬小姐的治療計劃,設計植體如何置放,假牙如何規劃。

手術後也會再次驗證評估植體的安放設計是否如計畫進行,有沒有需要調整設計的地方。
經由完整的一日假牙療程治療後,馬小姐重拾微笑的自信,以及能夠好好大口吃東西的能力。